神经退行性疾病专栏 | 陈功/雷文亮团队通过单次注射AAV成功构建阿尔茨海默病NHP模型

2024年12月20日
分享:

研究背景

阿尔茨海默病(AD)一直是神经科学研究的热点,科学家们不断探索更好的模型来模拟这种复杂的神经退行性疾病,暨南大学陈功/雷文亮团队发表的一篇题为A nonhuman primate model with Alzheimer’s disease-like pathology induced by hippocampal overexpression of human tau文章,为AD研究带来了新突破。研究团队通过在非人灵长类动物(NHPs)中单次注射腺相关病毒(AAV),成功地过表达人类tau蛋白,建立了AD病理模型,为研究AD的机制和开发治疗方法提供了新的可能性。值得一提的是,此研究中使用的AAV由派真生物提供。

  

研究方法

AAV因其高效、低免疫原性和广泛的组织特异性,成为基因治疗中的重要工具。在这项研究中,研究团队使用重组AAV9(rAAV9)载体将人类tau蛋白基因引入恒河猴(Macaca mulatta)的海马体,通过一系列行为学测试和脑组织分析,评估AD样病理的形成情况。结果显示,AAV介导的tau蛋白过表达不仅导致了神经元内tau蛋白聚集,还诱发了类似AD患者的大脑病理变化,成功地再现了阿尔茨海默病样病理特征。

研究结果

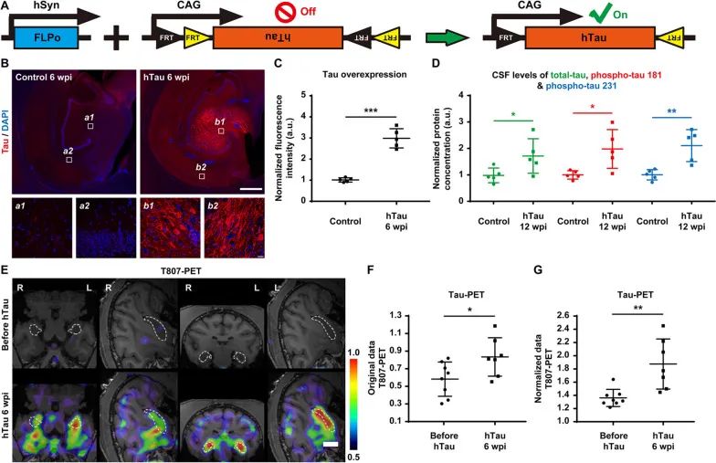
结果1脑立体定位将AAV注射至双侧海马体获得tau持续高表达的NHP模型

图 1 通过立体定向注射过表达hTau蛋白的AAV载体,使用免疫显色及PET/MRI成像等多种检测方法,检测结果显示AAV介导的基因转导效率约为75%,且在6至50周内保持稳定,表明AAV能够有效诱导tau蛋白的广泛且持久的表达。

 

结果2AAV诱导的NHP海马体中存在tau蛋白异构体累积,并形成神经原纤维缠结

图 2 在hTau过表达6周和50周后,3R和4R tau阳性神经元的数量显著增加,且磷酸化tau蛋白在神经元中的表达显著上升,形成了神经原纤维缠结(NFTs)。

 

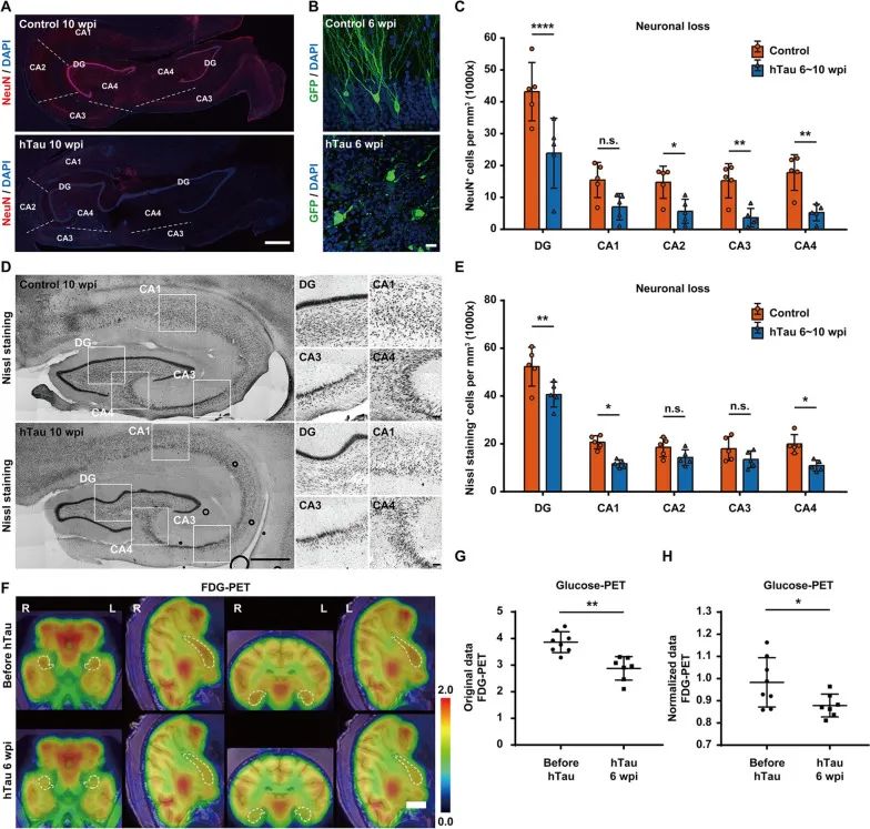
结论3tau过表达导致严重神经退化、海马萎缩、神经炎症、血管异常

图 3 AAV介导的hTau过表达引起了显著的神经变性和神经元丧失,结果显示NeuN+细胞数量显著减少,神经元数量减少,海马区的葡萄糖代谢下降,表明神经元正在退化或死亡。

图 4 hTau过表达后12周内海马体积显著缩小,并通过MRI和组织切片观察到这种变化,脑脊液中神经丝轻链(NfL)浓度显著升高,这些也说明神经元发生了退化。

图 5 AAV介导的hTau过表达10周后,GFAP+和Iba1+细胞数量显著增加,表明星形胶质细胞和小胶质细胞从静息状态转变为反应状态,导致局部神经炎症反应。

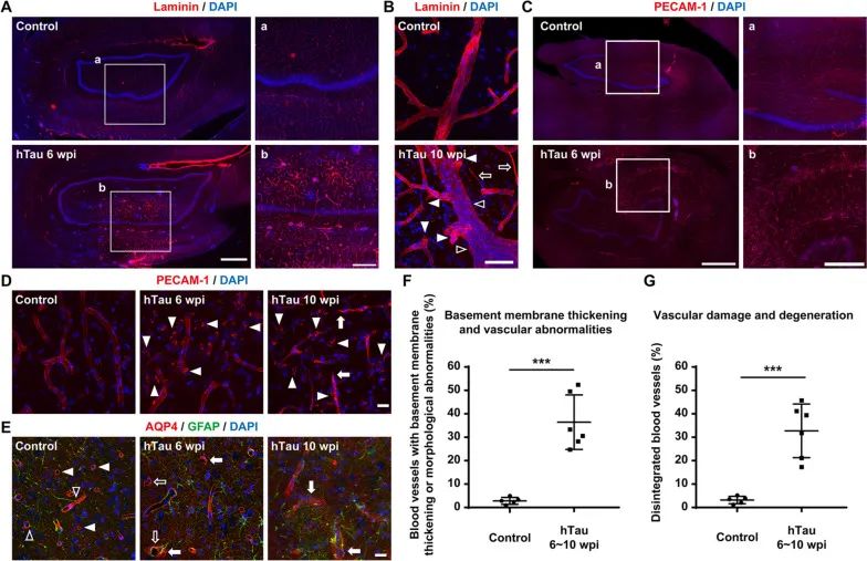
图 6 过表达hTau会引发多种血管异常和损伤,包括血管基底膜增厚、血管形态异常、血管退化和破裂,以及星形胶质细胞末端从血管上撤退。这些变化导致血管结构显著受损甚至解体,表明tau过表达能够诱导与阿尔茨海默病相关的血管异常和损伤。

结论4tau过表达导致的学习和记忆障碍

图 7 hTau过表达导致猴子空间工作记忆恶化和联想学习能力受损。实验设计包括基于WGTA的空间工作记忆测试和延迟匹配样本测试,结果显示hTau过表达显著使猴子的记忆保持时间减少30-40%,学习周期延长50-80%。

意义与展望

这项研究不仅为阿尔茨海默病的研究提供了新的灵长类动物模型,还展示了AAV在基因治疗和疾病模型构建中的巨大潜力。AAV载体的使用,使得基因能够在目标区域内高效表达,科学家们可以更精准地研究AD的病理机制,为未来的治疗策略开发提供坚实基础。派真CRO &CTDMO 一站式服务平台,提供从基因合成、载体构建,到病毒包装的整体解决方案,全面支持您的基因治疗研究。我们还提供高质量NHP级别AAV载体产品,助力阿尔茨海默疾病的基因治疗研究,帮助研究人员在NHP研究中降低安全风险,提高疗效,并获得更可靠和可重复的研究数据。

关于派真

作为一家专注于AAV 技术十余年,深耕基因治疗领域的CRO&CDMO,派真生物可提供从载体设计、构建到 AAV、慢病毒和 mRNA 服务的一站式解决方案。凭借深厚的技术实力、卓越的运营管理和高标准的服务交付,我们为全球客户提供一站式CMC解决方案,包括从早期概念验证、成药性评估到IITINDBLA的各个阶段。

 

凭借我们独立知识产权的π-alphaTM 293 细胞AAV高产技术平台,我们能将AAV产量提高多至10倍,每批次产量可达1×10¹⁷vg,以满足多样化的商业化和临床项目需求。此外,我们定制化的mRNA和脂质纳米颗粒(LNP)产品及服务覆盖药物和疫苗开发的各个阶段,从研发到符合GMP的生产,提供端到端的一站式解决方案。

下载

用户登录

还没账号? 请注册
手机验证码登录
账号密码登录
手机号码*
验证码*
忘记密码?

首次使用手机号登录将自动为您注册

登录即代表阅读并接受《注册协议》 《用户协议》

新用户注册

已有账号?
手机注册
邮箱注册
手机号码*
验证码*
机构名称*
客户类型*

重置密码

手机找回密码
邮箱找回密码
手机号码*
验证码*
设置新密码*
确认新密码*