重组腺相关病毒(rAAV)是目前基因治疗领域最主流的递送载体,已在多种罕见病治疗中展现出巨大潜力。然而,天然血清型AAV(如AAV9)在临床应用中面临两大瓶颈:一是强烈的肝脏趋向性,导致大部分病毒颗粒被肝脏“拦截”,不仅降低了靶组织的效率,还引发了严重的免疫反应和肝毒性;二是对特定组织的靶向效率不足,对于杜氏肌营养不良(DMD)这种需要全身肌肉表达的疾病,如何让治疗载体”只入肌肉、不扰他处”,一直是业界亟待攻克的关键技术难题。
为了突破这些瓶颈,学术界一直在探索新型衣壳工程。然而,传统的肽段插入方法往往只能“增强靶向”,却难以彻底“消除脱靶”。在此背景下,派真生物研发团队联合国内外顶尖科研机构,在国际权威期刊Molecular Therapy Advances 发表了题为”Engineering novel AAV capsids by global de-targeting and subsequent muscle-specific tropism in mice and NHPs“的研究论文。该研究创新性地提出了一种“先清零,再靶向”的两步走策略,成功开发出具有高度肌肉特异性的新型衣壳——AAV.eM。

一、两步法衣壳工程,构建AAV.eM新型载体
1. 构建“静默”骨架:AAV.Zero的开发
研究人员通过对AAV9和AAV2的关键表面氨基酸进行精确置换,破坏了它们与初级受体(如HSPG等)的结合位点。经过多轮筛选,构建了AAV.Zero。
实验显示,AAV.Zero在小鼠体内几乎丧失了对所有主要器官(包括肝脏、心脏、肌肉等)的转导能力。这个“干净”的背景板为后续的精准重构奠定了基础。
2. 模块化重构:AAV.eM的高效肌肉靶向
在AAV.Zero的特定位置插入靶向肌肉细胞表面受体的一段多肽,成功生成了全新的功能性载体 AAV.eM。
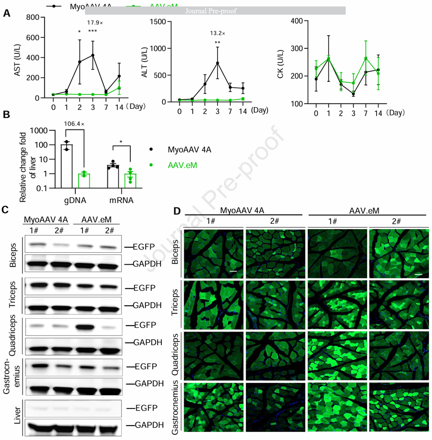
肌肉vs肝脏: 在小鼠模型中,AAV.eM在骨骼肌中的转导效率比AAV9高出10-100倍,而其在肝脏中的表达量则比AAV9降低了约100倍。
对比优势: 与目前行业内知名的肌肉靶向载体MyoAAV 4A相比,AAV.eM在保持同等甚至更高肌肉转导效率的同时,展现出了更优异的“肝脏脱靶”特性。
3. 跨物种验证:非人灵长类(NHP)中的卓越表现
基因治疗研究中常面临“小鼠有效,猴子无效”的物种差异难题。研究团队在食蟹猴上进行了验证:
高效递送: 静脉注射后,AAV.eM在灵长类动物的多种肌肉组织(如股四头肌、三角肌、心肌等)中实现了广泛且强劲的转基因表达(图1)。
安全性极佳: 肝脏富集程度极低,且未观察到明显的肝功能指标异常,证明了该载体在临床转化上的巨大潜力。
图1 在非人灵长类动物中,AAV.eM可在不牺牲转导效率的前提下显著降低肝毒性。
4. 临床应用模拟:DMD小鼠的功能挽救
为了验证其实际治疗效果,研究团队利用AAV.eM携带微型抗肌萎缩蛋白(Micro-dystrophin)基因治疗DMD模型小鼠(mdx mice):
功能恢复: 接受治疗的小鼠全身肌肉功能得到显著改善,握力增强,肌肉病理损伤明显减轻(图2)。
低剂量优势: 凭借其极高的特异性,AAV.eM在较低剂量下即可达到传统AAV9高剂量才能实现的疗效,极大地提升了安全性窗口。
图2 系统性注射 AAV.eM-MHCK7-microdystrophin 可在成年 DMD 小鼠体内实现微肌营养不良蛋白的广泛表达,并有效恢复肌肉功能。
二、研究意义:定义新一代载体设计范式
本研究不仅开发出了一个具有临床潜力的肌肉靶向载体,更重要的是证明了 “全局脱靶+特异靶向”(Global De-targeting & Re-targeting)这一设计范式的可行性。
AAV.eM系统的突破性意义在于:
安全性跨越: 通过彻底消除肝脏趋向性,极大地降低了基因治疗最担心的肝毒性风险。
效能提升: 实现了“降本增效”,较低的注射剂量意味着更低的生产成本和更小的患者免疫负担。
平台化潜力:AAV.Zero作为一个“通用型静默底座”,未来可以通过更换不同的导向肽,快速定制化开发出针对神经系统、肿瘤或肺部的精准递送载体。
三、结语
从发现自然到改造自然,基因递送技术的每一次进步都在缩短实验室与诊室之间的距离。派真生物研发团队始终致力于攻克基因递送的核心痛点。AAV.eM的问世,为全球数百万肌肉萎缩及相关罕见病患者带来了新的曙光。
未来,我们将继续深耕衣壳工程,利用AI辅助设计与高通量筛选平台,为生物医药行业提供更安全、更精准、更经济的递送解决方案。
参考资料
Pan Y, Zhong Y, Chen H, Zhang Y, Dai Z, Chen J, Tan K, Chen X, Qiu D, Sheng L, Tan X, Fan Y, Bu Y, Zhou Z, Yang Z, Duan R, Guan M, Gao G, Li H, Engineering novel AAV capsids by broadly attenuated and subsequent muscle-specific tropism in mice and NHPs Molecular Therapy Advances (2026), doi: https://doi.org/10.1016/j.omta.2026.201725.
关于派真
作为一家专注于AAV 技术十余年,深耕基因治疗领域的CRO&CDMO,派真生物可提供从载体设计、构建到 AAV、慢病毒和 mRNA 服务的一站式解决方案。凭借深厚的技术实力、卓越的运营管理和高标准的服务交付,我们为全球客户提供一站式CMC解决方案,包括从早期概念验证、成药性评估到IIT、IND及BLA的各个阶段。
凭借我们独立知识产权的π-alphaTM 293 细胞AAV高产技术平台,我们能将AAV产量提高多至10倍,每批次产量可达1×10¹⁷vg,以满足多样化的商业化和临床项目需求。此外,我们定制化的mRNA和脂质纳米颗粒(LNP)产品及服务覆盖药物和疫苗开发的各个阶段,从研发到符合GMP的生产,提供端到端的一站式解决方案。