出生后能否通过基因编辑逆转神经发育障碍? 这是困扰科学界已久的难题。以由CHD3基因突变引起的Snijders Blok-Campeau 综合征(SNIBCPS)为例,患者常表现为智力障碍及自闭症样行为,长期以来面临无药可医的困境。然而,这一局面正迎来转机。
近日,上海交通大学医学院李斐教授、杨侃副研究员团队与松江研究院仇子龙教授团队、复旦大学脑科学转化研究院程田林研究员团队和中国科学院分子细胞科学卓越创新中心李劲松院士团队合作,在国际顶尖学术期刊《Nature》在线发表了题为 “In vivo base editing of Chd3 rescues behavioural abnormalities in mice” 的研究论文。
该研究开发了一种新型腺嘌呤碱基编辑器(TeABE),并通过 AAV-PHP.eB 载体跨血脑屏障递送,在体内成功纠正了Chd3 基因突变,显著挽救了模型小鼠的神经发育缺陷及自闭症样行为。这一突破性成果不仅揭示了染色质重塑基因致病的分子机制,更为治疗Snijders Blok-Campeau综合征及其他单基因神经发育疾病提供了极具潜力的基因治疗策略。

一、科学难题:当“染色质重塑”遭遇突变
二、 技术突破:新型碱基编辑器TeABE
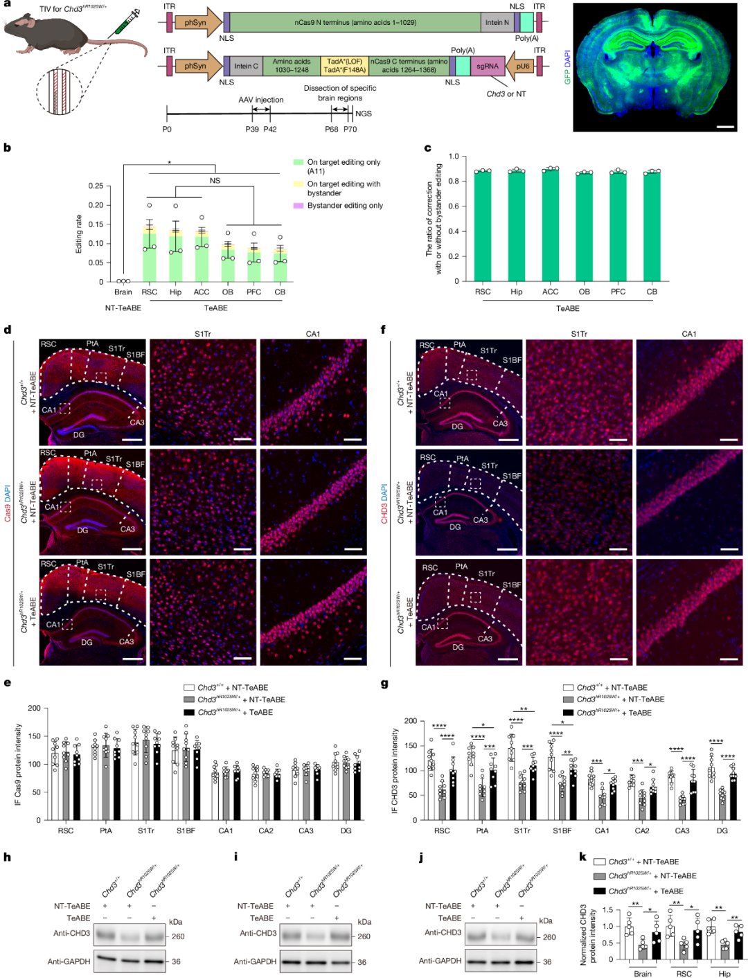
为了在体内精准修复这一突变,研究团队设计了一种嵌入式腺嘌呤碱基编辑器——TeABE(TadA-embedded Adenine Base Editor)。通过筛选,研究人员确定了 TeABE-1249变体具有最高的编辑效率和极低的旁观者编辑效应。该编辑器能够在不产生DNA双链断裂的情况下,精确地将致病的A•T碱基对修正为G•C,从而恢复正常的氨基酸序列。
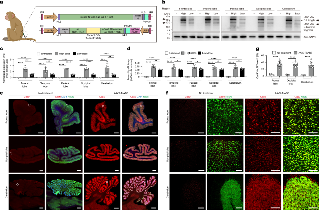
三、 关键递送:AAV-PHP.eB跨越血脑屏障

四、治疗效果:分子与行为的双重逆转
1.蛋白水平恢复:在接受AAV-TeABE治疗的成年 Chd3hR1025W/+ 小鼠脑中,CHD3蛋白水平显著回升,证明了体内碱基编辑的有效性(图1)。

图1 TeABE在Chd3hR1025W/+ 小鼠脑中恢复CHD3水平。a, 左图,双AAV递送TeABE示意图及尾静脉注射和组织收集用于NGS的实验时间线。右图,代表性免疫荧光图像显示广泛转染(hSyn-GFP,绿色;DAPI,蓝色)。TIV,尾静脉注射;ITR,末端反向重复序列;NLS,核定位信号;pU6,U6启动子。b,高剂量TeABE(滴度5.0 × 1012 vg/ml,100 μL + 10 μL AAV-hSyn-GFP;n = 3只小鼠)给药后不同脑区的NGS定量分析,显示靶位点(A11)和旁观者位点(A13)的编辑情况。c,来自b数据集的仅校正等位基因(仅A11编辑而无A13)与校正+旁观者等位基因(A11 + A13)的比值(n = 3只小鼠)。d,e,Chd3+/+ + NT-TeABE、Chd3hR1025W/+ + NT-TeABE和Chd3hR1025W/+ + TeABE小鼠脑中的Cas9(红色)和DAPI(蓝色)代表性免疫荧光(IF;d)及定量分析(e)(每组3只小鼠,每只小鼠3张切片,共9张切片)。f,g,RSC和Hip中CHD3染色的代表性图像。h–j,全脑(h)、RSC(i)和Hip(j)裂解液中CHD3的代表性免疫印迹。k,h–j的定量分析。
图2 NHP大脑中高效的TeABE重组和神经元转导。a,通过鞘内注射递送双AAV9 split-TeABE的示意图;aa,氨基酸。b,c,未处理猴子和接受低剂量或高剂量AAV9-TeABE处理的猴子额叶、枕叶和小脑灰质裂解物中全长Cas9(约180 kDa)和N端Cas9片段(抗Cas9多克隆抗体)的免疫印迹(b)及定量分析(c)。d,不同脑区中split-TeABE组装效率。e,高剂量AAV9-TeABE处理猴子额叶、枕叶和小脑皮层中Cas9(红色)、NeuN(绿色)和DAPI(蓝色)的代表性免疫荧光图像。f,e图中方框区域的高倍放大视图。g,Cas9的神经元转导率(Cas9+细胞占NeuN+细胞的比例)在额叶、枕叶和小脑中的比较。高剂量,每split-TeABE载体1.20 × 10¹⁴ vg;低剂量,每载体3.00 × 10¹³ vg。
派真生物为该研究提供了NHP级别AAV包装服务:

关于派真
作为一家专注于AAV 技术十余年,深耕基因治疗领域的CRO&CDMO,派真生物可提供从载体设计、构建到 AAV、慢病毒和 mRNA 服务的一站式解决方案。凭借深厚的技术实力、卓越的运营管理和高标准的服务交付,我们为全球客户提供一站式CMC解决方案,包括从早期概念验证、成药性评估到IIT、IND及BLA的各个阶段。
凭借我们独立知识产权的π-alphaTM 293 细胞AAV高产技术平台,我们能将AAV产量提高多至10倍,每批次产量可达1×10¹⁷vg,以满足多样化的商业化和临床项目需求。此外,我们定制化的mRNA和脂质纳米颗粒(LNP)产品及服务覆盖药物和疫苗开发的各个阶段,从研发到符合GMP的生产,提供端到端的一站式解决方案。